近日,张女士一家聚餐,她特地做了拿手的油爆河虾。一家人其乐融融边吃边聊,没成想这虾一下滑进了张女士的喉咙,张女士感觉咽喉部“卡”了一下,顿时一阵呛咳,但是什么也咳不出来,片刻后症状有所减轻,张女士以为河虾已经“吞”下肚子。
没想到,第二天张女士咳嗽加重,两天后发现咳嗽时伴有鲜红色血,咯的血量还挺多且不断增加。张女士非常担心,遂前往浦东新区人民医院就诊。
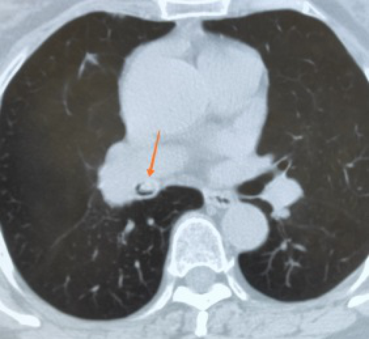
呼吸内科副主任医师杨华接诊后,详细询问了病史,了解到张女士三天前被食物河虾呛了一下,接着出现咳嗽,后出现咯血,就诊时张女士仍不停咯血且血量多,同时伴有胸痛,这一系列的症状引起了杨华的警觉,即刻安排张女士急诊CT,检查后发现患者右肺支气管有异物影,考虑为河虾呛入气管导致咳嗽咯血,情况危急,须紧急进行支气管镜。

很快,气管镜、手术器械及各项工作全部准备完毕,在呼吸内科团队的密切配合下,仅仅3分钟,一个呛入气管、长约3cm、沾满鲜血且已经开始腐烂的河虾被完整取出。数日后,张女士平安出院。

科普小贴士为什么会形成气道异物呢?

首先从喉部的解剖结构说起。喉腔气管开口和食道开口前后相邻,但是喉腔上面有一块人体最灵活的组织——会厌。说话或呼吸时,会厌向上,使喉腔开放;咽食时,会厌下降,盖住喉头(气管的顶部),让水和食物不能进入食管。
平时进食的时候,讲话、大笑,甚至进食太快,会厌可能调节失灵,有可能造成异物卡喉或者进入气道,尤其是对于会厌松弛的老人和咽喉发育不全的小孩儿。常见气道异物,如虾、鸡骨头、尖椒头、瓜子壳、假牙等。
临近春节,亲朋好友聚餐难免增多。杨华医生提醒大家,希望大家在做好疫情防控的同时,控制进食节奏,防止噎食呛咳。一旦出现异物吸入,须立即停止进食,并尽快到医院就医,以免出现窒息等危险。其次,在就诊时,如有异物吸入气道的病史,就诊者应详细告知接诊医生。
来源:浦东发布 作者:浦东发布
