近日,复旦大学附属眼耳鼻喉科医院黄锦海/周行涛团队与暨南大学附属深圳眼科医院雷和田教授团队、温州医科大学附属眼视光医院王勤美教授团队携手合作,在国际权威学术期刊《先进科学》(影响因子15.1)上发表原创论文基因编辑VEGFA阻止在体角膜新生血管生成。
角膜新生血管是一种重要致盲性眼部病变,其全球范围内的发病率可达4.1%-10.4%,而其中多达12%-57.4%的患者会因此失明。角膜新生血管的传统药物疗法包括激素、非甾体抗炎药治疗等,存在利用率低、作用时间短、副作用大等问题。高效可靠的角膜新生血管治疗方法仍待进一步探索。
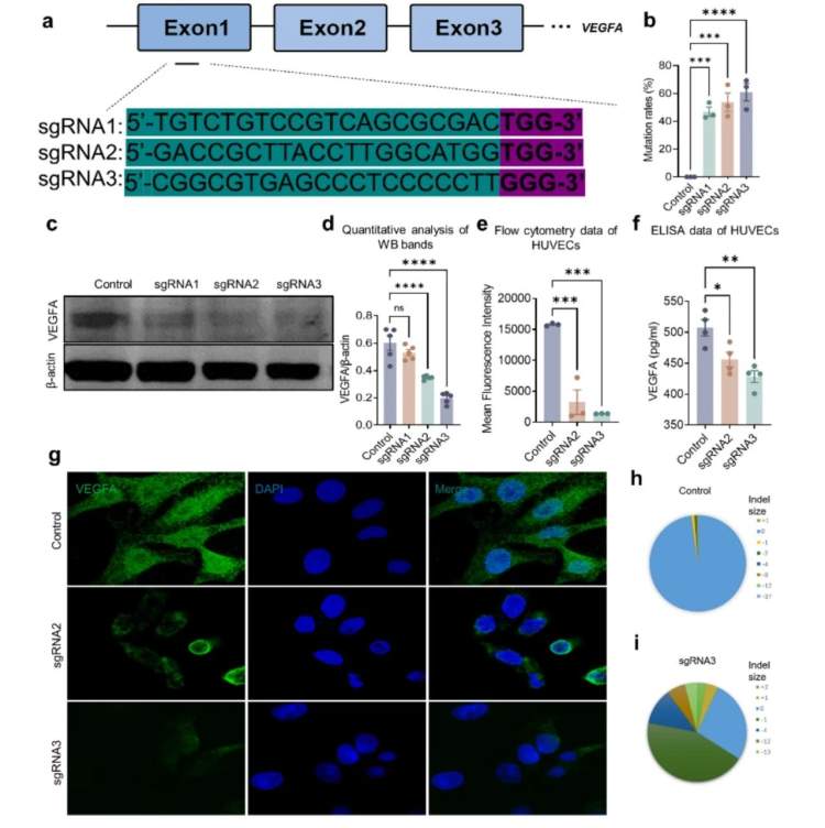
血管内皮生长因子是血管生成过程中的关键调控因子之一。黄锦海、周行涛团队从临床需求出发,精准锁定促血管生成的关键驱动因子,利用前沿的基因编辑技术,筛选开发了一种针对血管内皮生长因子基因的CRISPR/Cas9基因编辑系统,达到从源头上抑制其表达的效果。在体动物实验数据表明,CRISPR/Cas9基因编辑系统能够通过一次性治疗,不仅能够在体外表现出显著的抗血管功能,更能在体内成功抑制由角膜缝线引起的血管内皮生长因子表达上调及角膜新生血管形成过程,展示出了持久且安全的抗新生血管疗效。

角膜新生血管的形成会不断侵蚀角膜的透明性,导致患者视力大幅下降。研究团队聚焦眼科医工交叉研究,充分发挥基因编辑等多学科技术优势,采用基因编辑“剪”断促新生血管形成的关键环节,实现一针“剪”血的治疗效果,为维持角膜透明与健康的生理状态起到重要作用,为角膜新生血管的治疗带来新突破。
黄锦海、周行涛领衔眼科医工交叉创新团队,坚持研究源于眼科临床,并回归于临床的理念。该团队专注于解决致盲性眼病临床诊疗中的棘手难题,通过交叉融合基因编辑、光机电、眼球生物测量成像、纳米生物材料等领域的前沿技术,成功打破了传统诊疗技术局限,为眼病诊疗一体化的新策略做出努力。创新团队在眼健康创新技术联合实验室(复旦大学附属眼耳鼻喉科医院—光正眼科集团共建),深化“产学研”一体化建设,合力打造眼科医疗创新高地。
来源:周到上海 作者:曾震海 、李思衡
