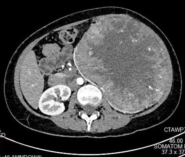
这位病人近几月发觉腹部逐渐膨隆,原以为是身体发胖引起,到医院检查才发现左肾内有罕见巨大肿瘤,腹部如同藏着一个如同40码鞋子大小的“炸弹”,肿瘤已达盆腔,严重挤压胃肠道等腹腔脏器,随时可能破裂引发大出血。上海交通大学医学院附属新华医院泌尿外科主任崔心刚教授带领的肾肿瘤团队顺利完成高难度肾肿瘤切除术,“拆弹保肾”,有惊无险。
崔心刚在接诊小吴时同样感到震惊,随着大众健康意识的提高和体检的普及,绝大部分的肾肿瘤能够早期发现,如此巨大的肾肿瘤实属罕见。尽管手术难度和风险巨大,崔心刚仍然接下了这个烫手山芋。
小吴入院后快速完成了影像学检查和全身情况的评估。专家团队为小吴进行了智能三维建模,明确了肿瘤与肾脏动静脉及周围脏器的关系。完善术前评估后,崔心刚邀请并组织了多学科会诊,共同讨论制定手术方案及风险处理预案,拟定在充分备血和肾动脉介入栓塞后,进行传统开放手术切除肾肿瘤。

手术当天,介入血管科进行肾动脉栓塞后,崔心刚带领的肾肿瘤团队在麻醉与重症医学科的协同下,为小吴进行了肾肿瘤切除术。手术有条不紊地进行着,肾肿瘤背侧的分离、肾门部血管的处理、肾肿瘤上极与胰腺及脾血管的剥离,一步一步,突破重重困难,崔心刚终于松了一口气,最终顺利完成手术。
“拆弹”手术耗时1.5小时,术中出血极少,未输血,术后小吴返回普通病房。
新华医院泌尿外科肾肿瘤特色亚专业年肾肿瘤手术达300余台,院外会诊超过100余台,其中肾癌保肾手术比例超过70%。

崔心刚说,保肾手术,虽然对医生团队提出了挑战,但从长期预后看,会大大提高患者的生活质量。新华医院泌尿外科肾肿瘤团队在复杂肾肿瘤的保肾手术、高危巨大肾肿瘤的根治手术、肾肿瘤伴下腔静脉瘤栓的取栓术及晚期肾癌的综合治疗方面都积累了丰富的经验,
“当新一代达芬奇机器人手术系统的进入手术室后,泌尿外科医生‘如虎添翼’,得以频频挑战高度复杂肾肿瘤保肾手术的极限,为更多肾肿瘤患者精准切除肿瘤,保留患肾功能。”
他同时提醒,要重视身体发出的某些信号和定期体检。肾肿瘤早期往往没有明显的特异性症状和临床表现,绝大部分肾肿瘤患者都是通过体检发现。
早期肾肿瘤一般可以通过腹腔镜或达芬奇机器人手术系统行微创保肾手术,最大限度保留肾功能,并且术后无需辅助治疗,预后良好。
如出现血尿、腰痛等表现时,提示肿瘤可能进展到了中晚期,而晚期肾肿瘤往往失去了手术机会,只能行靶向治疗或免疫治疗,切预后较差。对于肾肿瘤,要做到早期发现和早期处理,尽早行微创保肾手术,避免发生巨大肾肿瘤和肾肿瘤伴下腔静脉瘤栓的形成。
来源:周到上海 作者:陈里予
