挑战70岁以上高龄,上海交通大学医学院附属新华医院为71岁淋巴瘤患者顺利完成自体造血干细胞移植,为徐老伯生命成功续航。新华医院血液内科主任郝思国教授表示,根据国际多个研究中心的数据表明,越来越多70岁以上的患者接受了造血干细胞移植,其中,自体造血干细胞移植后2年的整体生存率也已达到80%以上。新华医院血液内科已完成多例65岁以上老年淋巴瘤和骨髓瘤患者自体移植治疗,为高龄淋巴瘤患者带来“新生”希望。
七旬老者患淋巴瘤陷入绝望
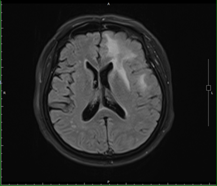
2020年8月,徐老伯起床时因突发头晕、头痛、恶心,从床上跌落。家人随即将徐老伯送至新华医院急诊就诊,完善头颅MRI提示:左侧额叶、胼胝体多发占位,考虑恶性或转移可能。徐老伯在神经外科完成了颅内肿瘤切除术和开颅颅内减压术,临床结合病理及影像学检查确诊,徐老伯罹患原发中枢神经系统弥漫大B淋巴瘤,并存在CD79b、 Myd88等不良预后相关的基因突变。

这个结果对于徐老伯及其家人来说犹如晴天霹雳。在转入新华医院血液内科进一步治疗后,郝思国告诉忧心忡忡的徐老伯,淋巴瘤是目前控制率、治愈率最高的肿瘤之一。徐老伯说:“刚确诊的那段时间,是我最无助的时候,我年纪又这么大了,真不知道自己能不能挺过这道坎。”
新型免疫疗法助力病情缓解
淋巴瘤是一种常见的血液系统恶性肿瘤,其发病率呈逐年上升趋势。我国每年淋巴瘤新发病例数约10万(霍奇金淋巴瘤约0.5万,非霍奇金淋巴瘤约9.5万),标化发病率约为5/10万。淋巴瘤已经超过白血病及多发性骨髓瘤,成为血液系统第一大恶性肿瘤。
新华医院血液内科郝思国主任表示,在既往常规治疗中,原发中枢神经系统淋巴瘤确实是临床的一大难题,具有高度侵袭性,容易复发的特点,整体预后不佳的情况,5年生存率仅为30-40%。但是,随着治疗手段的进步,在大剂量甲氨蝶呤基础上联合应用抗CD20单抗、替莫唑胺及BTK抑制剂等能有效提高患者诱导治疗的完全缓解率。
住院后,医生们与家属积极沟通,并根据徐老伯的体能评分、脏器储备、突变基因等因素,为徐老伯制定了甲氨蝶呤+替莫唑胺+地塞米松+泽布替尼的诱导方案。诱导治疗期间,徐老伯整体耐受良好,无严重脏器功能不全及血液毒性等不良反应发生。诱导治疗4个疗程后的再次评估,确认了徐老伯的疾病得到了完全缓解。为进一步清除残留,减少复发可能,郝思国教授为徐老伯进行自体造血干细胞移植的巩固治疗。
突破年龄上限为生命续航
自体造血干细胞移植是指患者接受放、化疗及新型药物的预处理后,将自体造血干细胞经血管输注到体内,重建起正常造血和免疫系统的一种治疗。近期的研究显示,其远期复发率、生活质量、总生存时间及神经认知功能优于全颅放疗的患者。
然而在过去,大于65岁的患者是自体移植的禁忌。徐老伯已是71岁高龄,给造血干细胞移植治疗带来一定挑战。血液内科淋巴瘤团队考虑到徐老伯体能状况良好,肾功能正常,且骨髓储备充足,心室射血分数超50%,可以作为自体移植的候选者。与此同时,新华医院血液内科团队全方位考虑移植可能出现的并发症、风险及应对措施,制定详尽的预案和护理计划。
据郝思国教授介绍,
即使是70岁以上的患者,自体造血干细胞移植后2年的整体生存率也在80%以上。他表示,自体造血干细胞移植中常见严重并发症包括重症肺炎、呼吸衰竭、心力衰竭、内脏出血等,因此要提前把存在风险一一做好预案,才能确保移植成功率。经过造血干细胞动员、采集等工作,徐老伯进入了移植仓。血液内科严格把控每一个环节,为了及时观察、发现、处理移植期间的可能不良反应,医护人员更是轮流在床边守护患者,最终“过关斩将”顺利完成了预处理、回输、移植后造血重建、感染控制等关键阶段。经过医护团队20余天的共同努力下,徐老伯挺过了一道道难关,成功出仓了。
近日,徐老伯来医院复诊,他激动地告诉郝思国主任说: “最初以为自己没得救了,现在的生活真的是太难得了!过的每一天,都对生活充满了感激。”
来源:周到上海 作者:陈里予
